Sunkios ligos

Idiopatinė (savaiminė) aseptinė kaulo nekrozė

Kas yra aseptinė kaulų nekrozė?

Aseptinė kaulų nekrozė – tai būklė, kai sutrinka kraujo tiekimas į kaulo audinį, dėl ko dalis kaulo pradeda irti ir mirti. Ši būklė dar vadinama avaskuline nekroze arba išeminiu kaulo pažeidimu, nes ji atsiranda be infekcijos arba bakterijų įtakos („aseptinė“ reiškia be infekcijos). Aseptinė nekrozė gali paveikti bet kurį kaulą, tačiau dažniausiai pažeidžiami klubo, kelio, peties arba riešo kaulai.

Galimos aseptinės kaulų nekrozės priežastys

Aseptinė kaulų nekrozė atsiranda, kai nutrūksta arba sumažėja kraujo tiekimas į kaulą, o tai gali sukelti šie veiksniai:

• Traumos: kaulų lūžiai ar išnirimai gali pažeisti kraujagysles, kurios aprūpina kaulą krauju.

• Ilgalaikis steroidinių vaistų vartojimas: kai kurie steroidai gali sutrikdyti kraujo tiekimą kaulams.

• Piktnaudžiavimas alkoholiu: didelis alkoholio vartojimas gali sukelti riebalų kaupimąsi kraujagyslėse ir sumažinti kraujo tekėjimą į kaulus.

• Autoimuninės ligos: kai kurios ligos, pvz., reumatoidinis artritas arba sisteminė raudonoji vilkligė, gali sukelti kraujagyslių pažeidimus.

• Kraujo krešėjimo sutrikimai: trombozės ir kiti kraujo krešėjimo sutrikimai gali užblokuoti kraujotaką kauluose.

• Genetiniai veiksniai: kai kuriems žmonėms dėl paveldimų genetinių ypatumų gali padidėti aseptinės nekrozės rizika.

Aseptinės kaulų nekrozės simptomai

Aseptinės nekrozės simptomai gali skirtis priklausomai nuo pažeidimo vietos ir stadijos:

• Skausmas: pradžioje gali būti juntamas lengvas skausmas, kuris laikui bėgant intensyvėja. Skausmas dažnai jaučiamas sąnario srityje, ypač atliekant judesius ar krūvį.

• Sąnarių sustingimas: pažeistas sąnarys gali prarasti judrumą ir tapti standesnis.

• Patinimas: kai kuriais atvejais aplink pažeistą sąnarį atsiranda patinimas.

• Judesių apribojimas: kai pažeidžiama kaulo struktūra, judėjimas gali būti ribotas arba skausmingas.

• Skausmas ramybės būsenoje: progresuojant ligai, skausmas gali pasireikšti net be fizinio krūvio ar ramybės būsenoje.

Kaip elgtis, jei pasireiškia aseptinės kaulų nekrozės simptomai?

Jei patiriate simptomus, būdingus aseptinei kaulų nekrozei, svarbu pasitarti su gydytoju. Taip pat galite išbandyti šias priemones:

• Ribokite fizinį aktyvumą: venkite didelio krūvio pažeistam sąnariui, kad sumažintumėte tolesnį kaulo pažeidimą.

• Naudokite pagalbines priemones: ortopedinės priemonės, pvz., ramentai, gali padėti sumažinti pažeisto sąnario apkrovą.

• Venkite alkoholio: alkoholio vartojimo mažinimas padeda apsaugoti kraujagysles ir pagerinti bendrą sveikatą.

• Laikykitės gydytojo nurodymų dėl vaistų: nevartokite steroidinių vaistų be gydytojo priežiūros.

Kada kreiptis į gydytoją?

Svarbu kreiptis į gydytoją, jei:

• Skausmas ar sąnario diskomfortas laikui bėgant stiprėja arba trukdo kasdieniam gyvenimui.

• Pastebite, kad skausmas pasireiškia net ir ramybės būsenoje.

• Judesių apribojimas ir standumas trunka ilgą laiką ir blogėja.

Gydytojas gali atlikti reikiamus tyrimus, tokius kaip rentgeno, MRT ar kraujo tyrimus, kad patvirtintų diagnozę. Gydymas gali apimti fizioterapiją, vaistus nuo skausmo ir uždegimo, taip pat kaulų atstatymo operacijas arba sąnario protezavimą sunkiais atvejais

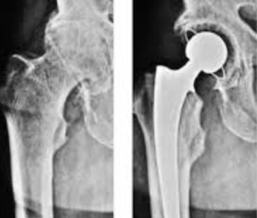
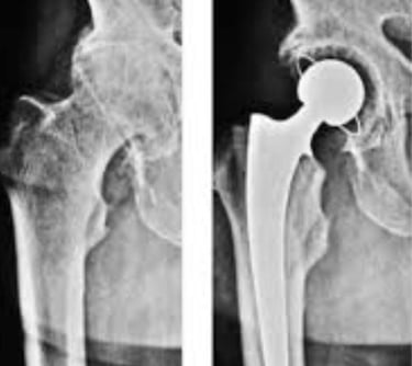
Visas klubo sąnario pakeitimas

Šlaunikaulio galvos avaskulinės nekrozės procesas visada baigiasi klubo artritu. Sergant klubo artritu, šlaunikaulio galvos ir šlaunikaulio sąnarių paviršiai tampa netaisyklingi, prarandant sąnario judesį. Gydymo pasirinkimas yra bendras klubo sąnario pakeitimas.

Visiškas klubo sąnario endoprotezavimas – tai procedūra, kurios metu chirurgas pažeistą šlaunikaulio galvą ir pažeistą jungties paviršių pakeičia protezais. Pažeista šlaunikaulio galva pašalinama ir pakeičiama metaliniu stiebu ir kamuoliuku. Pažeista klubo sąnario lizdo kremzlė pakeičiama metaliniu lizdu.

Proteziniai komponentai: visas klubo sąnario protezavimas gali būti cementuotas arba necementuotas.

Cementuotas bendras klubo sąnario pakeitimas: šios procedūros metu cementas naudojamas protezų komponentams pritvirtinti prie kaulo.

Necementuotas bendras klubo sąnario pakeitimas: Taikant šią techniką, komponentai fiksuojami „presfitfit“ būdu į kaulą, kuris leidžia kaulams augti ant komponentų.

Protezinės medžiagos:

Visiškas klubo sąnario pakeitimas turi platų dizainų ir medžiagų asortimentą.

Stiebo ir lizdo komponentai visame klube artroplastika visada yra medicininio plieno arba titano lydiniai. Galima pasirinkti medžiagą protezui galvai ir lizdo įdėklui. Protezinės galvutės gali būti metalinės arba keramikinės. Lizdų įdėklai yra iš plastiko, metalo ir keraminių medžiagų.

Priklausomai nuo paciento poreikių, gali būti gaminami įvairūs metalinių galvučių ir įdėklų deriniai.

Metalas ant plastiko (metalinė galvutė / plastikinis įdėklas)

Keramika ant plastiko (keraminė galvutė / plastikinis įdėklas)

Metalas ant metalo (metalinė galvutė / metalinis įdėklas)

Metalas ant keramikos (metalinė galvutė / keraminis pamušalas)

Keramika ant keramikos (keraminė galvutė / keraminis pamušalas)

Sprendimas naudoti cementuotus ar necementuotus komponentus ir įvairius galvos ir lizdų įdėklų derinius priklauso nuo įvairių veiksnių, tokių kaip amžius, kaulų kokybė ir kartais chirurgo pasirinkimas.